Tứ chi của ông Thức yếu dần trong ba năm qua, uống thuốc nam, dùng nhiều loại thực phẩm chức năng không bớt. Gần đây, ông nóng rát, tê bì vùng cổ, tay yếu rõ rệt, tê hai chân đến tận các ngón chân, đau cứng lưng, đại tiểu tiện không tự chủ.
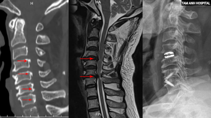
Chụp cắt lớp vi tính CT tại Bệnh viện Đa khoa Tâm Anh Hà Nội phát hiện bệnh nhân vôi hóa nhiều đoạn dây chằng dọc sau. ThS.BS Tạ Ngọc Hà, khoa Chấn thương Chỉnh hình, giải thích lớp dây chằng này có nhiệm vụ giữ vững cột sống, bị canxi hóa và dày lên, làm hẹp ống sống từ đốt sống cổ C3 đến C7. Chụp cộng hưởng từ MRI cho thấy đĩa đệm C4-5 thoát vị, C6-7 thoát vị nặng, chèn ép tủy cổ nghiêm trọng.
"Trong số các tổn thương cột sống thì tổn thương tủy cổ gây ra liệt cao, khả năng hồi phục rất kém", bác sĩ Hà nói, thêm rằng ông Thức có nguy cơ liệt vĩnh viễn nếu không điều trị.

Tổn thương vôi hóa dây chằng dọc sau (trái), thoát vị đĩa đệm (giữa) của bệnh nhân được khắc phục sau phẫu thuật (phải). Ảnh: Bệnh viện Đa khoa Tâm Anh
Phương án phẫu thuật tối ưu, an toàn cho người bệnh là mổ lối trước, bộc lộ mặt trước thân đốt sống, thay đĩa đệm nhân tạo C4-5, cố định đốt sống C6-7, theo bác sĩ Hà. Cách này giúp bệnh nhân bảo tồn vận động cổ sau mổ.
Trong 4 tiếng, bác sĩ Hà cùng êkíp dùng kính vi phẫu bóc tách, giải phóng vùng tủy bị chèn ép. Khối thoát vị C4-5 được lấy ra ngoài, đặt đĩa đệm nhân tạo thay thế. Tổn thương đốt sống C6-7 nặng hơn được bác sĩ Hà lấy bỏ đĩa đệm và thoát vị chèn ép, giải phóng thần kinh rồi ghép xương nhân tạo và cố định lại bằng miếng ghép đĩa đệm có nẹp vít để tạo độ vững cho toàn bộ cột sống cổ.
Hậu phẫu 30 phút, ông Thức vận động được chân tay trên giường bệnh. Hôm sau, ông hết nóng rát vùng cổ thấp và giảm nóng rát bắp chân hai bên, vết mổ ở cổ không đau, ngồi dậy, đi lại được. Chuyên viên phục hồi chức năng hướng dẫn ông tập một số bài tập kiểm soát bàng quang và cơ vùng chậu giúp tự chủ đại tiểu tiện.

Bác sĩ Hà (trái) cùng êkíp phẫu thuật cho bệnh nhân bằng kính vi phẫu và máy C-arm. Ảnh: Bệnh viện Đa khoa Tâm Anh
Theo bác sĩ Hà, tổn thương tủy cổ thường gặp sau chấn thương cột sống cổ, do tuổi tác, gây ra tình trạng thoái hóa, vôi hóa dây chằng dọc sau, thoát vị đĩa đệm... Nếu do chấn thương, bệnh nhân thường được cấp cứu và điều trị ngay lập tức. Còn tổn thương tủy cổ do thoái hóa thường diễn biến âm thầm, ban đầu chỉ là tê tay, yếu nhẹ, thoáng đau vùng cổ vai. Bệnh nhân thường chủ quan, điều trị nội khoa không đỡ hay chuyển sang tự chữa bằng thuốc đông y không rõ nguồn gốc. Nhiều bệnh nhân lo phẫu thuật, trì hoãn điều trị ngoại khoa khiến bệnh trở nặng, yếu liệt rõ rệt, đại tiểu tiện mất tự chủ mới đi khám, lỡ mất thời gian "vàng" điều trị, có nguy cơ cao liệt vĩnh viễn.
Bác sĩ Hà khuyến cáo khi có triệu chứng tổn thương như đau cổ, cứng cổ khi cúi, ngửa, xoay, cảm giác tê bì, châm chích ở các chi, nóng rát lan từ cổ xuống lưng và các chi, yếu cơ, cầm nắm không chắc, đi lại loạng choạng, người bệnh cần đi khám ngay.
Để phòng bệnh bằng cách giữ tư thế làm việc đúng, ngồi thẳng lưng, thả lỏng vai, tránh cúi đầu quá lâu dùng điện thoại. Thường xuyên tập thể dục, tránh các động tác bẻ cổ, xoa bóp quá mạnh có thể gây chấn thương. Kiểm soát tốt các bệnh mạn tính như đái tháo đường, béo phì, rối loạn chuyển hóa cũng giúp giảm nguy cơ vôi hóa dây chằng và thoái hóa cột sống làm tổn thương tủy cổ.
Thanh Long
*Tên bệnh nhân đã được thay đổi