Bà Phương khó thở kèm đau tức ngực phải, ho khan kéo dài một tháng. Khám ở Canada ghi nhận bất thường nhưng qua nhiều tháng bà chưa đặt được lịch để bác sĩ chẩn đoán chuyên sâu, về Việt Nam đến Bệnh viện Đa khoa Tâm Anh Hà Nội khám. Kết quả chụp cắt lớp vi tính cho thấy tổn thương kích thước 3 cm ở thùy dưới phổi phải, xẹp thùy dưới phổi, tràn dịch màng phổi phải.
ThS.BS Nguyễn Văn Ngân, Khoa Hô hấp, Bệnh viện Đa khoa Tâm Anh Hà Nội, chọc hút dịch màng phổi kết hợp nội soi màng phổi nhằm quan sát tổn thương, lấy mẫu sinh thiết. Kết quả chọc hút được nhiều dịch màu vàng sẫm, có nhiều nốt và khối mọc dày đặc dưới màng phổi. Sinh thiết xác định bà Hương mắc bệnh ung thư phổi, di căn màng phổi. Hiện, người bệnh được điều trị theo phác đồ ung thư của bác sĩ, sức khỏe dần ổn định.

Bác sĩ thực hiện nội soi màng phổi cho bà Phương. Ảnh: Bệnh viện Đa khoa Tâm Anh
Bà Phương không hút thuốc lá, làm nail hơn 10 năm, thường xuyên tiếp xúc với sản phẩm làm móng. "Tùy thuộc vào mức độ tiếp xúc, một số hóa chất như aceton, formaldehyde, toluen... trong các sản phẩm làm móng có thể gây ung thư", bác sĩ Ngân nói.
Ở giai đoạn đầu, ung thư phổi ít khi gây biểu hiện rõ ràng. Người bệnh có thể chỉ thấy ho dai dẳng, thỉnh thoảng tức ngực, khàn tiếng hay mệt mỏi dễ nhầm lẫn với viêm phế quản, viêm phổi. Đa số người bệnh phát hiện bệnh khi tiến triển nặng, xuất hiện triệu chứng ho ra máu, đau ngực dữ dội, khó thở, tràn dịch màng phổi...

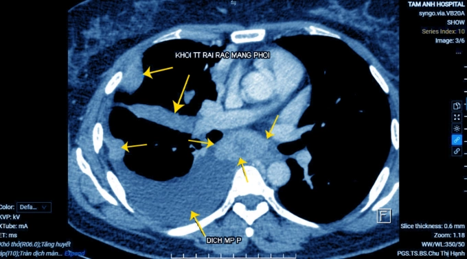
Các khối tổn thương màng phổi dày đặc trên phim chụp CT. Ảnh: Bệnh viện Đa khoa Tâm Anh
Bệnh nhân ung thư giai đoạn muộn như bà Phương thường không thể phẫu thuật điều trị triệt để. Các phương pháp hóa trị, xạ trị, liệu pháp nhắm trúng đích, miễn dịch... có thể giúp kéo dài thời gian sống và cải thiện chất lượng cuộc sống.
Y tế Việt Nam những năm qua có nhiều tiến bộ trong điều trị ung thư. Các bệnh viện làm chủ nhiều kỹ thuật tiên tiến, đầu tư thiết bị chẩn đoán hình ảnh và điều trị, nội soi, phẫu thuật robot, can thiệp xâm lấn tối thiểu, có nhiều loại thuốc mới. Bà Phương khám và điều trị tại Việt Nam với chi phí rẻ hơn nước ngoài, không phải chờ đợi lâu, phác đồ tương đương.
*Tên người bệnh đã được thay đổi
Khuê Lâm
Độc giả đặt câu hỏi bệnh hô hấp tại đây để bác sĩ giải đáp |