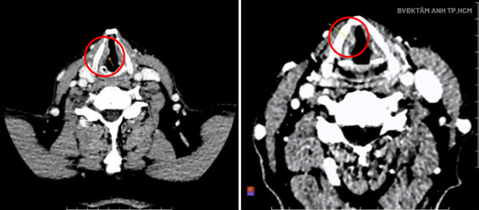
Nội soi tai mũi họng tại Bệnh viện Đa khoa Tâm Anh TP HCM cho thấy hai dây thanh của ông Bình phù nề, dây thanh phải sùi, sụn phễu sung huyết. Kết quả CT ghi nhận tổn thương ở thanh quản, ngang mức ở dây thanh bên phải, dạng sùi, kích thước khoảng 7x14x6 mm. Giải phẫu bệnh xác định ung thư biểu mô tế bào vảy xâm nhập độ hai, giai đoạn T2.
GS.TS.BS Trần Phan Chung Thủy, Giám đốc Trung tâm Tai Mũi Họng, cho biết ông Bình mắc ung thư thanh quản, tổn thương từ lớp tế bào vảy ở vùng thanh quản. Khối u xâm lấn vào mô xung quanh độ hai về mức độ biệt hóa, mức ác tính trung bình, hạn chế vận động dây thanh, xâm lấn vùng cạnh thanh môn nhưng chưa di căn xa.

Ảnh chụp CT ghi nhận khối u ở dây thanh phải. Ảnh: Bệnh viện Đa khoa Tâm Anh
Giáo sư Chung Thủy chỉ định phẫu thuật nội soi laser cắt u thanh quản qua đường miệng. Đây là phương pháp sử dụng laser CO2 (bước sóng 10.600 nm) với chùm tia sáng năng lượng cao chiếu chính xác vào mô ung thư, loại bỏ triệt để khối u, giữ nguyên mô khỏe mạnh xung quanh, bảo tồn chức năng thanh quản, hạn chế sự phát tán của các tế bào ung thư. Phương pháp này chỉ áp dụng trong điều trị ung thư thanh quản ở giai đoạn sớm, khi khối u còn nhỏ, khu trú, chưa xâm lấn sâu vào các mô xung quanh. Tỷ lệ khỏi bệnh tương đương xạ trị.

Giáo sư Chung Thủy (ngoài cùng trái) phẫu thuật nội soi cắt khối u bằng laser CO2 cho ông Bình. Ảnh: Bệnh viện Đa khoa Tâm Anh
Sau phẫu thuật, ông Bình được đặt ống thông dạ dày qua mũi giúp đưa thức ăn lỏng trực tiếp xuống dạ dày, tránh nuốt qua miệng, giảm nguy cơ nhiễm trùng trong giai đoạn đầu sau mổ. Bác sĩ thiết kế chế độ ăn riêng, đảm bảo chất dinh dưỡng cho người bệnh.
Hậu phẫu, sức khỏe ông ổn định, xuất viện sau 4 ngày. Tái khám sau 14 ngày, ông hồi phục tốt, không cần hóa trị hay xạ trị. Các chức năng nuốt, nói, hô hấp được bảo tồn hoàn toàn, ăn uống bình thường và dần lấy lại giọng nói. Ông Bình về Australia, song trở lại Việt Nam duy trì lịch tái khám sau một tháng và hai tháng.
Theo giáo sư Chung Thủy, phẫu thuật laser CO2 vi phẫu qua đường miệng ít biến chứng, giúp người bệnh hồi phục nhanh hơn, xuất viện sớm hơn, tiết kiệm chi phí.
Ung thư thanh quản phổ biến thứ hai ở đường hô hấp trên, thường gặp ở người bệnh 60-70 tuổi, tiên lượng sống sau 5 năm khoảng 64%, theo Thư viện Y khoa Mỹ. Phát hiện sớm và điều trị kịp thời ung thư thanh quản giúp người bệnh có tiên lượng sống tốt hơn. Trong trường hợp ung thư giai đoạn muộn, người bệnh phải cắt bán phần hoặc toàn phần dây thanh.
Nguyên nhân chính gây ung thư thanh quản là hút thuốc lá. Lạm dụng bia, rượu, thường xuyên tiếp xúc với các hóa chất như asbestos hoặc là bụi than... làm tăng nguy cơ ung thư thanh quản. Khàn tiếng là triệu chứng sớm và chủ yếu của ung thư thanh quản. Người bệnh còn có thể ho khan, khạc đờm, khó chịu ở họng, cảm giác như có dị vật ở họng, khó thở thanh quản rối loạn nuốt.
Khi có triệu chứng bất thường, khàn giọng hơn hai tuần, ho dai dẳng, nuốt đau... người bệnh nên đến các cơ sở y tế chuyên sâu tai mũi họng để khám, nội soi, thực hiện các xét nghiệm cần thiết. Phòng ngừa ung thư thanh quản bằng cách bỏ hút thuốc lá, hạn chế rượu bia, sử dụng thiết bị an toàn khi thường xuyên tiếp xúc các chất độc khác tại nơi làm việc, ăn uống và ngủ nghỉ lành mạnh.
Uyên Trinh
Độc giả gửi câu hỏi về bệnh tai mũi họng tại đây để bác sĩ giải đáp |