TS.BS Nguyễn Đức Anh, Trưởng khoa Ngoại Thần kinh Cột sống, Bệnh viện Đa khoa Tâm Anh Hà Nội, cho biết túi phình của bà Hiền có nguy cơ vỡ gây xuất huyết não. Trong khi đó, u màng não phát triển dễ chèn ép, tạo áp lực lên nhu mô não và hệ thần kinh.
Bà Hiền mắc bệnh nền hen phế quản, tim mạch. Các bác sĩ đánh giá quá trình gây mê khi mổ có nguy cơ ứ khí, tràn khí phổi do đường thở hẹp, có nhiều dịch nhầy, mở khí quản khó khăn. Nếu chia thành hai ca mổ, gây mê nhiều lần, người bệnh nguy cơ bị biến chứng hô hấp và tim mạch. Sau hội chẩn, các bác sĩ chọn phẫu thuật kẹp cổ túi phình kết hợp lấy u màng não trong một lần.

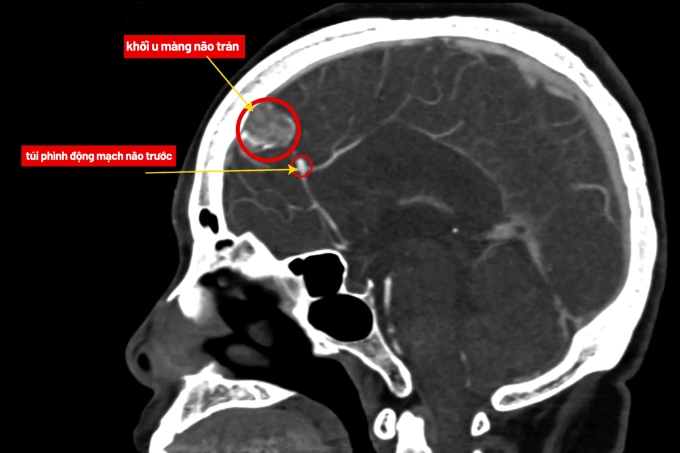
Ảnh chụp MRI khối u và túi phình mạch não của bà Hiền. Ảnh: Bệnh viện Đa khoa Tâm Anh
Sau khi đánh giá chức năng hô hấp, tim mạch, êkíp mở hộp sọ, tạo lối vào vùng não có túi phình. Nhờ hệ thống kính vi phẫu tích hợp AI độ phóng đại cao, bác sĩ có thể quan sát các góc khuất khó tiếp cận và bóc tách mạch máu, đặt clip kẹp cổ túi phình. Tiếp đến, êkíp xử lý khối u màng não nằm sát mạch máu và dây thần kinh.
Sau ba tiếng, kíp mổ loại bỏ nguy cơ vỡ túi phình, cắt bỏ khối u, giải phóng chèn ép, không để lại biến chứng. Sau 48 giờ, người bệnh tỉnh táo, giao tiếp tốt, vận động tay chân bình thường, hô hấp ổn định, không cần hỗ trợ máy.
Một tuần sau, tình trạng bà Hiền ổn định, vết mổ liền tốt, các chỉ số xét nghiệm và hình ảnh học sau mổ đều khả quan, được xuất viện.

Điều dưỡng kiểm tra vết mổ cho người bệnh. Ảnh: Bệnh viện Đa khoa Tâm Anh
Tiến sĩ Đức Anh khuyến cáo những người có biểu hiện đau đầu kéo dài, choáng, rối loạn vận động, rối loạn cảm giác nên đi khám tại chuyên khoa Ngoại thần kinh. Phát hiện bệnh lý mạch máu não, u não từ sớm, khi chưa biến chứng có thể giảm nguy cơ vỡ túi phình, xuất huyết não hay khối u phát triển quá lớn gây khó khăn cho điều trị.
Mỗi người cần duy trì lối sống lành mạnh, kiểm soát huyết áp, bỏ thuốc lá, hạn chế rượu bia, tăng cường vận động thể lực phù hợp. Khi đã phát hiện bệnh, cần tuân thủ điều trị, dùng thuốc đúng chỉ định, tái khám đúng hẹn.
Linh Đặng
*Tên người bệnh đã được thay đổi
Độc giả đặt câu hỏi về bệnh thần kinh tại đây để bác sĩ giải đáp |