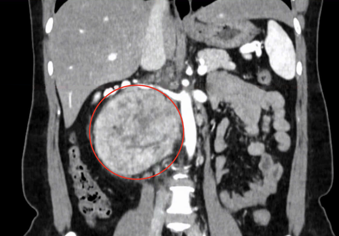
Chị Ngà từng được bác sĩ chẩn đoán bị thoát vị đĩa đệm song điều trị bằng thuốc không bớt đau. Chụp CT tại Bệnh viện Đa khoa Tâm Anh TP HCM cho thấy khối u 12 cm ở vùng sau phúc mạc - khoang ổ bụng và cột sống lưng. Loại u này thường phát sinh từ mô, thần kinh, tế bào mầm hoặc các nang sau phúc mạc.
TS.BS Nguyễn Hoàng Đức, Trưởng khoa Tiết niệu, Trung tâm Tiết niệu - Thận học - Nam khoa, cho biết khối u lớn nằm sau tĩnh mạch chủ, cạnh động mạch và hai tĩnh mạch thận, chèn ép các cơ quan lân cận. Bác sĩ không thể phẫu thuật nội soi hoặc nội soi robot mà phải mổ mở để lấy trọn khối u.
Trong ba giờ, êkíp tiếp cận khối u, bóc tách toàn bộ ruột non và ruột già dính ở phía trước và phía sau khối u, bóc tách động mạch, tĩnh mạch chủ, cắt trọn khối u an toàn mà không làm tổn thương các mạch máu và các cơ quan lân cận. Kết quả giải phẫu xác định bệnh Castleman, dạng mạch hyalin hóa - một nhóm các rối loạn tăng sinh lympho mạn tính ít gặp.
 
Tiến sĩ Đức và êkíp mổ cắt u sau phúc mạc. Ảnh: Bệnh viện Đa khoa Tâm Anh
Theo bác sĩ Đức, bệnh thường biểu hiện bằng các hạch bạch huyết to không đau, nên trước đây được gọi là bệnh hạch bạch huyết khổng lồ. Nguyên nhân và cơ chế gây bệnh Castleman chưa rõ ràng. Một số nghiên cứu cho thấy có vai trò của virus human herpesvirus-8 (HH-8), Kaposi sarcoma herpesvirus (KSHV) cũng như Human immunodeficiency virus (HIV), đặc biệt trong bệnh Castleman thể lan tỏa.
 
Khối u lớn sau phúc mạc của chị Ngà. Ảnh: Bệnh viện Đa khoa Tâm Anh
Bệnh Castleman khó chẩn đoán, chỉ được xác định bằng kết quả giải phẫu bệnh sau phẫu thuật hoặc sinh thiết hạch. Bệnh ở thể khu trú (đơn tổn thương) chỉ cần điều trị bằng phẫu thuật. Thể lan tỏa (đa cơ quan) phải điều trị kết hợp nhiều phương pháp.
Theo bác sĩ Đức, nhiều người mắc bệnh Castleman ít xuất hiện triệu chứng, đôi khi cảm thấy căng tức vùng ngực, bụng, khó thở, ho, mệt mỏi, sốt, giảm cân đột ngột, một số thấy hạch to ở dưới da ở cổ, nách, hoặc bẹn. Khám sức khỏe định kỳ giúp kịp thời phát hiện bệnh, điều trị sớm đạt hiệu quả tốt.
Hà Thanh
*Tên người bệnh đã được thay đổi