Kết quả xét nghiệm máu của ông Chuyên hai năm trước cho thấy nồng độ kháng nguyên đặc hiệu tuyến tiền liệt (PSA) ở mức 52,5 ng/mL, cao hơn 13 lần ngưỡng tối đa (4 ng/mL) ở nam giới khỏe mạnh. Chụp cộng hưởng từ MRI vùng chậu ghi nhận tuyến tiền liệt lớn, kích thước 43x39x44mm, tương đương 38 g.
BS.CKII Ngô Trường Sơn, Phó khoa Ung bướu, Bệnh viện Đa khoa Tâm Anh Hà Nội, chỉ định lấy mẫu sinh thiết của người bệnh qua đường tầng sinh môn dưới hướng dẫn siêu âm đầu dò trực tràng. Kết quả là ung thư biểu mô tuyến nang của tuyến tiền liệt, điểm mô học đánh giá mức độ ác tính (Gleason) 9/10, thuộc nhóm nguy cơ rất cao.
Ung thư tuyến tiền liệt có 5 nhóm tiên lượng, từ nguy cơ rất thấp, thấp, trung bình, cao đến rất cao. Ông Chuyên có khối u tuyến tiền liệt chưa xâm lấn vỏ bao, chưa di căn hạch và chưa di căn xa, là ung thư giai đoạn sớm, tại chỗ (T3N0M0) nhưng thuộc nhóm nguy cơ cao nhất, nghĩa là khối u phát triển nhanh nhất, có độ ác tính cao nhất và khả năng di căn sớm.

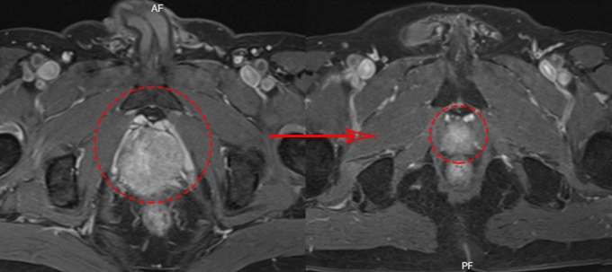
Chụp MRI tuyến tiền liệt của bệnh nhân trước (bên trái) và sau điều trị (bên phải). Ảnh: Bệnh viện Đa khoa Tâm Anh
Bác sĩ chỉ định sử dụng thuốc nội tiết tân bổ trợ gồm thuốc tiêm mỗi tháng một mũi và thuốc uống hàng ngày cho ông Chuyên. Sau một tháng, xét nghiệm máu cho thấy chỉ số PSA giảm về mức bình thường. 4 tháng sau, chụp MRI ghi nhận tuyến tiền liệt giảm kích thước đáng kể, từ 38 g còn 12 g, bệnh nhân hết khó tiểu. Tiếp đến, người bệnh được xạ trị gia tốc điều biến liều (IMRT) trong 37 buổi. Liều xạ được phân bổ theo kế hoạch, tập trung vào tuyến tiền liệt để tiêu diệt tế bào ung thư, giảm dần liều ra vùng ngoại vi để bảo vệ bàng quang, trực tràng và xương chậu, hạn chế tối đa tác dụng phụ.
Theo bác sĩ Sơn, tế bào ung thư tuyến tiền liệt dùng hormone sinh dục nam giới là testosterone như nguồn nhiên liệu để tăng trưởng. Liệu pháp nội tiết tân bổ trợ sử dụng các loại thuốc làm giảm hoặc chặn testosterone để cắt nguồn nhiên liệu, khiến ung thư ngừng phát triển, teo nhỏ. Cùng với xạ trị ngoài điều biến liều (IMRT), khối u của ông Chuyên giảm 70% kích thước chỉ sau 4 tháng, không cần phẫu thuật. Bệnh nhân tiếp tục điều trị nội tiết trong hai năm.
Kết thúc toàn bộ phác đồ điều trị sau hai năm, chỉ số sức khỏe của ông Chuyên bình thường, tuyến tiền liệt giảm kích thước. "Phác đồ điều trị đa mô thức giúp bệnh nhân triệt căn, khỏi bệnh, bảo tồn cấu trúc giải phẫu tuyến tiền liệt và chức năng sinh lý sau điều trị", bác sĩ Sơn nói.
Trước đây, bệnh nhân ung thư tuyến tiền liệt giai đoạn sớm, tại chỗ, nguy cơ cao và rất cao thường được chỉ định phẫu thuật cắt tuyến tiền liệt, nạo vét hạch. Đây là phẫu thuật xâm lấn cao, hậu phẫu bệnh nhân có thể gặp các biến chứng như rối loạn cương dương, rối loạn tiểu tiện, tiểu buốt, tiểu không tự chủ... Hiện, phác đồ điều trị đa mô thức kết hợp giữa liệu pháp nội tiết tân bổ trợ và xạ trị gia tốc, góp phần bảo tồn được chức năng trong đó có chức năng sinh lý cho bệnh nhân, theo bác sĩ Sơn.

Bác sĩ Sơn tư vấn cho ông Chuyên về tình trạng bệnh. Ảnh: Bệnh viện Đa khoa Tâm Anh
Tại Việt Nam, thống kê của Globocan năm 2022 cho thấy có hơn 5.800 ca mắc mới ung thư tuyến tiền liệt, xếp thứ 7 trong số các bệnh ung thư phổ biến nhất. Bệnh thường tiến triển âm thầm, ít triệu chứng nên khó phát hiện ở giai đoạn sớm. Ung thư tuyến tiền liệt phát hiện muộn, đã di căn, xâm lấn, chèn ép nhiều bộ phận gây ra các triệu chứng như tiểu khó, tiểu đau, tiểu máu, rối loạn cương dương, xuất tinh có máu. Lúc này, bệnh nhân cần điều trị tích cực, phải chịu đựng nhiều tác dụng phụ, có cơ hội khỏi bệnh thấp, chất lượng cuộc sống giảm.
Bác sĩ Sơn khuyến cáo nam giới sau 50 tuổi nên bắt đầu tầm soát ung thư tuyến tiền liệt tại bệnh viện có đầy đủ trang thiết bị như siêu âm, xét nghiệm chỉ số PSA. Các phương pháp này hỗ trợ bác sĩ phát hiện ung thư tuyến tiền liệt từ giai đoạn sớm. Để phòng ngừa bệnh nam giới nên duy trì lối sống và chế độ ăn uống lành mạnh, hạn chế thịt đỏ, ăn nhiều rau xanh, tránh rượu bia, không hút thuốc lá, tập thể dục thường xuyên giúp ổn định testosterone, tăng cường miễn dịch và giảm viêm mạn tính.
Thanh Long
*Tên bệnh nhân đã được thay đổi